Жительницу Чусового осудили за сломанные ноги сожительницы бывшего мужа
Во время спора за имущество женщина с подругами приехала к бывшему мужу, чтобы забрать вещи, которые пропали с ее дачи после развода.
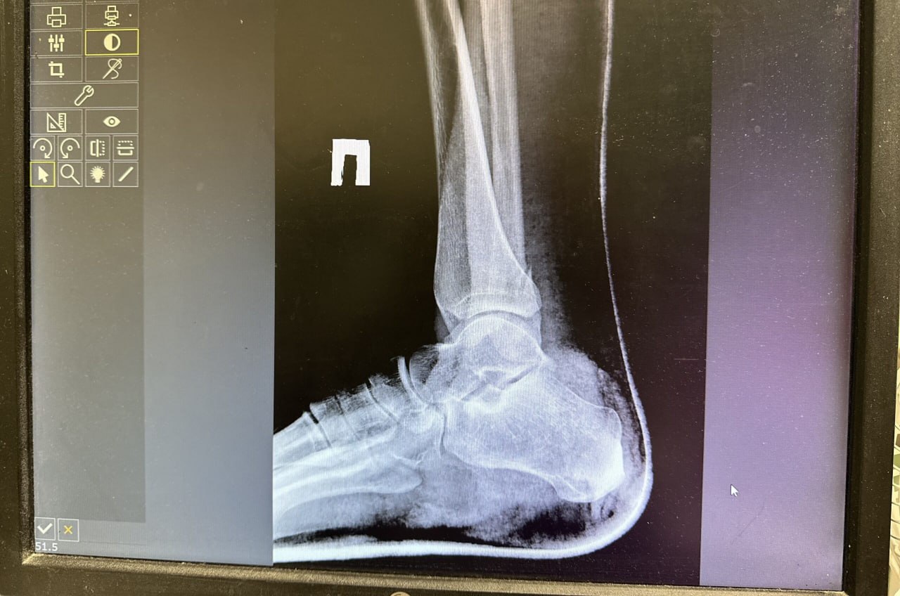
В ссоре она избила новую сожительницу бывшего супруга так сильно, что пострадавшая получила множественные переломы обеих ног.








































